Neuroradiologie – mehr als graue Substanz

CT, MRT und DSA: Klingt nach Deutsch-Rap, ist aber die Alltagssprache in der medbo Neuroradiologie

Für die medbo Redaktion hat die Neuroradiologie die Türen geöffnet, um Einblicke in eine faszinierende Welt zu geben, in der nicht alles Schwarz-Weiß ist.

Diagnose: Ein Brummen wie ein abhebendes Flugzeug
Die Computertomographie (CT) ist essentieller Bestandteil der Notfalldiagnostik.
Hier werden in mehreren Schichten Röntgenaufnahmen meist vom Kopf der Patient:innen gemacht, es kann aber der gesamte Körper untersucht werden. Während das CT brummt wird gerade eine Patientin zweimal hintereinander durch die Gantry (Röhre) gefahren. Dabei wird innerhalb weniger Sekunden ein Datensatz des Kopfes erstellt, der in allen Raumebenen rekonstruiert werden kann. In nicht mal zehn Minuten ist die Untersuchung bereits abgeschlossen und auf dem Monitor sind in verschiedenen Graustufen das Gehirn, die Knochen und das Gehirnwasser zu sehen. Dabei sind nicht alle Bilder nur schwarz und weiß. Bei der sogenannten CT- Perfusionsbildgebung kann mit Hilfe von bunten Bildern bei Schlaganfällen abgeschätzt werden, wie gut einzelne Hirnareale mit Blut versorgt werden. Hierzu dienen unterschiedliche Parameter wie TTP (Time to Peak), die misst, wie lange es dauert, bis Kontrastmittel im Gehirn anflutet.  

Resonanz: Unsichtbare Anziehung
Die Magnetresonanz-Tomographie (MRT) kommt ohne Röntgenstrahlen aus und nutzt ein sehr starkes Magnetfeld. Hier können alle Strukturen, die viel Wasser enthalten, untersucht werden. Wie das Gehirn. Das MRT der medbo hat 1,5 Tesla (Anm. der Red.: Tesla ist die Magnetfeldstärke. Das Magnetfeld der Erde hat nur 0,000050 Tesla). Achtung ist im MRT deshalb vor allem bei metallischen Gegenständen, sowohl im als auch am Körper geboten, da diese die Patient:innen verletzen, aber auch die Bilder unbrauchbar machen können. Zur Untersuchung, die von einem lauten Klopfen untermalt wird, wird der Person eine Art „Gitter“ aufgesetzt, um das Magnetfeld zu fokussieren. Denn jedes Organ braucht sein eigenes Untersuchungsprogramm – sprich: spezielle Sequenzen und Spulen. Für häufige Untersuchungen wie Multiple Sklerose, Schlaganfall oder Epilepsie gibt es daher ein eigens zusammengestelltes Programm. Jede Patient:in bekommt vor Beginn der Untersuchung noch einen Gehörschutz. Eine Untersuchung im Kernspin dauert wesentlich länger als im CT. Deshalb ist es auch sehr wichtig, dass die Patienten ruhig liegen bleiben.

Neben dem Gehirn und der Wirbelsäule, werden in der Neuroradiologie der medbo auch Gelenke, Lunge, Abdomen und Becken untersucht.

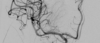
Intervention: Live-Blick ins Gehirn
Mit Hilfe der Digitalen Subtraktionsangiographie (DSA) werden die Arterien über einen Katheter, der über die Leistenschlagader eingebracht wird und bis in die Halsgefäße navigiert mit  jodhaltigem Kontrastmittel sichtbar gemacht. Die Angiographieanlage macht dabei eine Röntgenleeraufnahme vom Kopf. Das bedeutet, alles „Störende“ (Knochen und Gehirnmasse) wird subtrahiert und nur die Gefäße bleiben sichtbar.
Bei der Thrombektomie nutzen die Neuroradiologen dieses Verfahren, um Bilder der Arterien im Kopf in Echtzeit auf einen großen Bildschirm zu übertagen. Mit Hilfe noch kleinerer Katheter und Drähte können kleinste Blutgefäße im Kopf erreicht werden und das hier befindliche Blutgerinnsel mit einem Katheter entfernt werden. Wie auf einer „Autobahn“ fahren die Neuroradiologen dann mit einem Katheter die Hauptschlagader entlang am Herz vorbei, zu der gewünschten „Ausfahrt“, demmit dem Thrombus verschlossenem Gefäß. Besonders schön ist es zu sehen, wenn die Patienten am Tag nach der Thrombektomie wieder zu Fuß zur Kontrolluntersuchung kommen können.

Operiert wird in diesem Raum nur mit Röntgenschürzen, Schilddrüsenschutz und Bleiglasbrillen, da die Linse und die Schilddrüse die sensibelsten Organe sind. Hinter einer Bleiglaswand sind die beobachtenden Kolleginnen und Kollegen sicher da Röntgenstrahlen sich nur gerade ausbreiten.

Zum Fachgebiet: Neuroradiologie

Die Neuroradiologie ist eine Schwerpunktgebiet der Radiologie und befasst sich mit der Diagnose und Therapie von Erkrankungen und Veränderungen des Zentralen Nervensystems (ZNS), also alles rund um das Gehirn, Rückenmark und das periphere Nervensystem. Nach der 5-jährigen Facharztausbildung für diagnostische und interventionelle Radiologie folgt eine 3-jährige Weiterbildung und eine Prüfung vor der Ärztekammer für die Schwerpunktbezeichnung Neuroradiologie.  

Der Großteil der Patient:innen der medbo hat im Laufe eines stationären Aufenthalts mindestens einmal Kontakt zur Neuroradiologie.

Das Team der Neuroradiologie besteht aus 4 Ärzten und 10 MTRAs/ MFAs sowie 2 Sekretärinnen.